Une histoire de cerveau
Lise
3/22/20244 min read


Qui d'entre vous ici connaissent cet partie de ma vie qui prend tant de place depuis 9 ans?
LE DIAGNOSTIC
Novembre 2014. Je suis seule dans mon labo, à Brighton (Angleterre). Il est 18h. Soudainement je n'arrive plus à respirer, les muscles de ma poitrine ne répondent plus. Une pensée panique: "Si je ne respire pas bientôt je vais mourir ici.". Puis je me réveille, vivante, sur le sol du labo. Bizarre comme endroit pour la sieste, non? Ça me prend dix minutes pour me souvenir: "Mais je n'arrivais plus à respirer !!". Et je me suis mordue la langue. Panique. Heureusement une collègue est encore là, nous allons aux urgences, après quelques tests on me dit que j'aurais un rendez-vous chez un neurologue. Après cet épisode, pendant 3 jours je ne peux pas suivre une conversation pendant 5 minutes.
Parce qu'à présent je me souviens: depuis presque un an, j'ai, chaque matin, une sensation étrange, indescriptible dans la main qui dure 30 secondes puis s'en va. Je ne m'étais pas inquiétée, mais à présent je fais le lien. C'est sûrement de l'épilepsie. Il semble que des gens fassent une crise d'épilepsie et puis plus rien d'autre. J'espère que c'est ça et j'apprends que la NHS (Service de Santé au Royaume Uni) m'a retiré de la liste d'attente pour mon rendez-vous chez le neurologue. Mais 6 semaines plus tard, une deuxième crise. Là, la NHS ne rigole plus, j'ai un rendez-vous rapidement, puis un IRM. Ensuite plus de nouvelles, jusqu'à ce que le neurologue m'appelle tout en panique, me dit assis à une table de café que mon dossier était par erreur au fond d'une pile de résultats négatifs. Mais j'ai une "lésion" au cerveau. Encore un peu de temps pour un rendez-vous chez un neurochirurgien. Il m'annonce avec une froideur factuelle que j'ai une tumeur au cerveau, qu'il faut m'opérer, peut-être radio et chimiothérapie. Effondrée, terrifiée, je prends refuge pour l'après midi chez mon ami Stuart, pleurant au son du violon de ses élèves, avant de rentrer chez moi.
VOIR LA MORT
Être opérée? On va trifouiller dans mon cerveau? Et si je me retrouve handicapée, et si je n'arrive plus a parler? Alors tout le monde va penser que je suis idiote! Mais mon identité c'est mon intelligence (j'ai un doctorat quand même)! Tout s'effondre, je vois que tout ce que je pense être peut changer du jour au lendemain, que je vais peut-être mourir ou changer de personnalité. - Les Bouddhistes ici présents diront "Voilà une bonne chose...".
Dans le tumulte, une décision est vite prise: je vais rentrer en Belgique, laisser la famille plutôt que les colocs s'occuper de moi, et me faire opérer par une humaine plutôt qu'un glaçon. Mais rien n'est simple: il me faut plusieurs semaines pour retrouver mes droits à la mutuelle après deux ans passés en Angleterre. En attendant, me faire envoyer des médicaments de là bas.
Je vis chez ma tante adorée, puis chez une autre tante adorée, toute la famille est à mes côtés, et pourtant les mois qui suivent me semble comme une traversée en solitaire. J'ai la sensation qu'ils ne peuvent pas comprendre, et j'ai même du mal à partager avec elles.eux parce qu'ils sont tout aussi terrifiés que moi. Je me vois mourir avant 40 ans, je n'aurais certainement jamais d'enfant. Je voudrais tellement rencontrer des personne qui sont de l'autre côté de la tempête, qui pourraient me comprendre et me rassurer, simplement parce qu'ils sont toujours en vie.
RENAÎTRE
Après quelques mois, on m'enlève un morceau de cerveau. Contre toute attente c'est une bonne chose. Les maux de têtes atroces dont je souffrais depuis des années disparaissent brusquement. Ma chirurgienne n'est pas étonnée: mon cerveau était tellement sous pression qu'il aurait voulu sortir de sa boîte! Elle n'a retiré que le bout malade, et je peux tout faire comme avant. De plus, la tumeur est mise dans la case "croissance lente" et donc ni radio ni chimio pour l'instant.
Joie!
C'est le moment pour moi d'explorer des moyens de guérir à un autre niveau. La première chose à faire est de me construire une vie qui fait sens. D'aller vers la joie. De tenter d'abandonner la culpabilité qui me colle au corps. Je trouve de l'aide pour explorer et comprendre les histoires de ma famille, ce qui pourrait expliquer ceci ou cela chez moi. Je me fais des jus de légumes trois fois par jour.
Et puis il est temps de quitter les nids chaleureux que mes tantes m'ont offert. Une rencontre va orienter brusquement ma vie. Laurent, qui, au lieu de me dire au revoir, me dit "Pour moi être écopotes ça veut vraiment dire quelque chose. Je serais toujours là pour toi, jusqu'au bout. " C'est vrai. On est pas encore au bout mais il est toujours là. Avec lui je me retrouve à marcher pieds nus, à vivre en camion dans les bois, à construire une yourte, la démonter et la remonter. A faire des enfants et les perdre beaucoup trop tôt.
La tumeur? Eh bien ce n'est pas fini. Suite au prochain épisode.
Je ne saurais trop remercier mes parents, grands-parents, tantes, cousins et cousines, amis et amies, membre de la sangha, et bien sûr Laurent pour leur soutien, leur écoute leur aide et leur Amour.
Je ne saurais trop remercier les médecins de tous bords et de toutes spécialité pour leur présence, leur savoir-être, savoir faire, leur volonté de mettre à profit les longues années d'étude et d'expérience pour continuer à aider leur prochain.
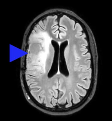
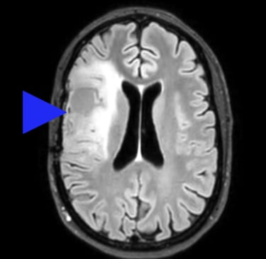
Ceci n'est pas une image tirée d'internet, mais bien mon propre cerveau. Tous droits réservés.
Lise Diez
Tél: +32478486662
lise[at]etre-et-renaitre.eu
Facebook: être et renaître
